Tel. : 0740 510 029     E-mail: anamariatolos@gmail.com

Protetica

 

Clinica Dr. Tolos foloseste materiale de cea mai buna calitate, atat pentru tratamentele conservatoare cat si pentru protetica dentara. Protetica dentara, este ramura cea mai importanta in stomatologie si analizeaza arcadele dentare afectate de pierderea unui singur sau mai multi dinti dar si tocirea acestora.

 

Clinica Dr. Tolos gaseste solutii potrivite de tratament pentru refacerea echilibrului estetic, musculo- articular si functional. In cazul in care un singur dinte este cariat pe mai multe parti, sau este fracturat, este necesara o lucrare protetica fixa, numita coroana. In lipsa mai multor dinti se realizeaza o punte dentara clasica din aliaje metalice sau aur si o componenta fizionomica, ceramica sau rasini acrilice.

 

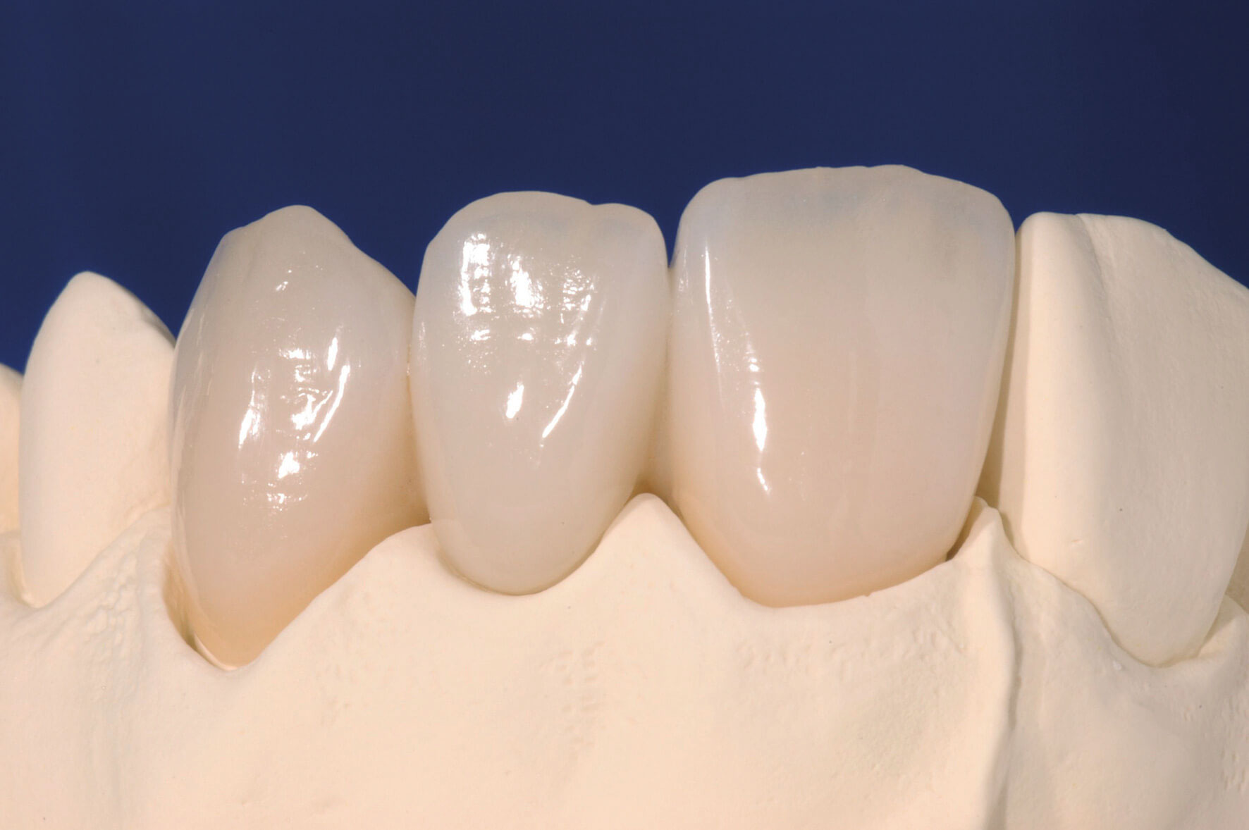
Coroanele metalo-ceramice sunt cele mai durabile dar si estetice. Sunt situatii in care lipsesc mai multi dinti, iar lucrarile protetice fixe nu sunt eficiente. Astfel, se apeleaza la protezele dentare mobilizante. Acestea sunt indepartate zilnic pentru igienizare, de catre pacient, fara ajutorul unui medic stomatolog. Protetica pe implantul dentar este o metoda noua de tratament, care inlocuieste dintii pierduti din diverse motive.

 

Clinica Dr. Tolos are o stransa colaborare cu tehnicienii dentari, obtinand astfel lucrari protetice care se remarca prin functionalitate, dar si prin estetica.

 

Sfat Dr. Tolos:

Cu o ingrijire dentara corespunzatoare, orice lucrare protetica isi va indeplini functiile mai mult timp.

 

Stabileste o intalnire:

Se trimite formularul...

Serverul a întâmpinat o eroare.

Mesaj primit.

Copyright © Clinica Dr. Tolos

Powered by Optimus Plus